2023 Oscar Predictions: Will 'Everything' take everything?
The 95th Academy Awards are nearly here. Here's a look at who's expected to win in major categories.
Sections
About Emerald City
Footer 3
The 95th Academy Awards are nearly here. Here's a look at who's expected to win in major categories.
Eli Lilly's news that it plans to cut insulin costs for patients will help, not hinder, the recent efforts in California and by entrepreneurs such as Mark Cuban to offer lower-cost alternatives, drug pricing experts said.
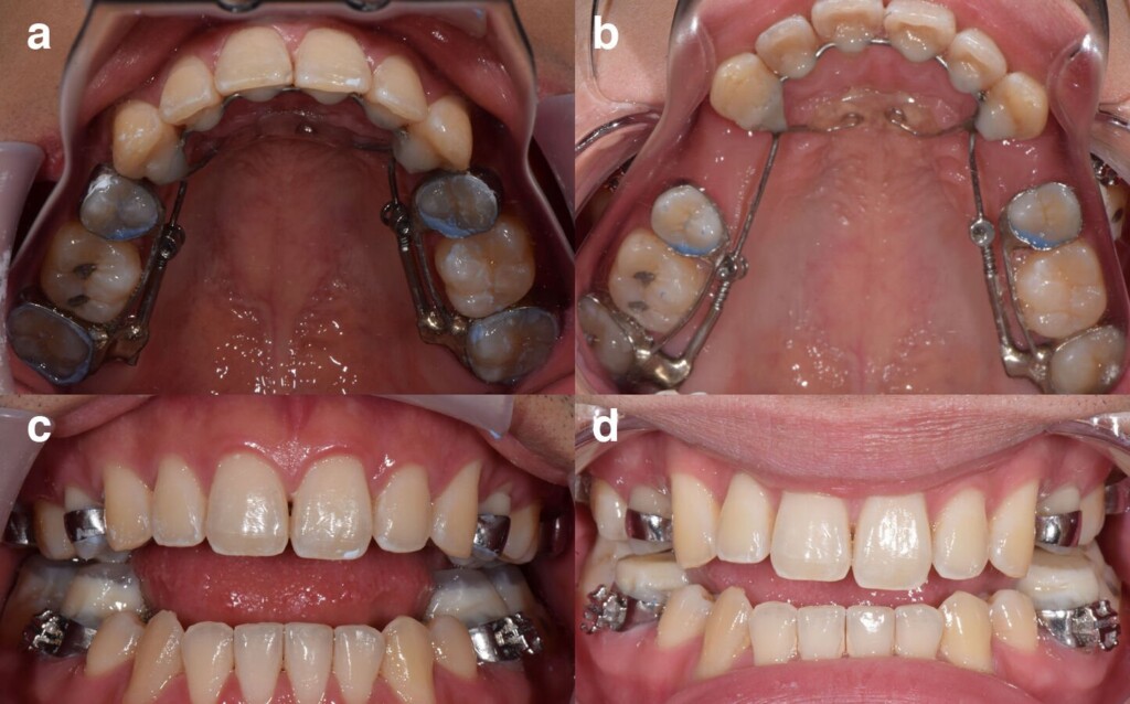
A dental device called AGGA has been used on about 10,000 patients without FDA approval or proof that it works. In lawsuits, patients report irreparable harm. The AGGAâs inventor and manufacturer have denied all liability in court.
The path to the 2024 Paris Olympics for Ukrainian athletes is clouded by war, anger and pain. Russian bombardments have wrecked training venues. Air raids disrupt training sessions. Athletes have lost family members and friends.
âAnt-Manâ landed in a distant second, while âCocaine Bearâ took third place in its second weekend in theaters.
Trump gave the headlining address at the annual Conservative Political Action Conference, and he told a cheering crowd of supporters that he is engaged in his "final battle" as he tries to return to the White House.
đ§ Get a recap of some of this week's top sports and entertainment stories through this special edition of our daily news podcast.
Scientists are studying hundreds of dogs at the Chernobyl disaster site that have managed to survive in extremely harsh conditions. They hope that examining the animals' genetics will give them insight into how humans can live in the most brutal of environments.
Smartphone cameras tend to be more advanced than their clunky, point-and-shoot predecessors. But the allure of cameras from the early 2000s reflects a broader search for meaning.
From American women winning the right to vote to the #MeToo movement, here's a look back at the past 100 years of women's history in the U.S. and around the world.
The Environmental Protection Agency is expected to propose restrictions on harmful "forever chemicals" in drinking water after finding they are dangerous in amounts so small as to be undetectable.
Testing carried out by companies, agencies and governments show popular EV models can lose roughly 10% to 36% of their advertised range in temperatures below 20 degrees Fahrenheit.
Social media users shared a range of false claims this week. Here are the facts.
Do you drink from a water fountain, drinking fountain or bubbler?Â
đ§ Alex Murdaugh is sentenced, a Black Vietnam veteran is finally honored and King Charles III plans his first state visits. Those stories and more on our daily podcast.
Patricia Kopta, nicknamed "The Sparrow," was a model and dance instructor before she vanished in 1992. Here's her story.
Nearly 60 years after he was first recommended for the nation's highest award for bravery during the Vietnam War, retired Col. Paris Davis received the prestigious Medal of Honor on Friday.
Harbor seals at Oregon Zoo have been earning their fish dinners with a new activity called shape training.
đ§ Alex Murdaugh will be sentenced today, severe weather moves across the U.S. and former Vice President Mike Pence discusses the 2024 election. Those stories plus sports highlights on our daily podcast.Â
âIf you come across a bear, never push a slower friend down ⌠even if you feel the friendship has run its course,â the service tweeted from its official account.